Lothaar Wieler: Tierseuchen
Tierseuchen
Infektionskrankheiten, die alle Menschen betreffen
von Prof. Dr. Lothar H. Wieler
Tierseuchen gibt es, solange es Tiere gibt. Und so begleiten auch uns Menschen die Tierseuchen seit jeher. Die ältesten dokumentierten Fälle einer chronischen bakteriellen Infektionskrankheit von Tier und Mensch, etwa von Tuberkulose, datieren auf ca. 9.000 Jahre vor Christus. Eine ähnliche bakterielle Krankheit, die Brucellose, ist ebenfalls aus dieser Zeit bekannt. Die Entwicklung von der reinen Agrikultur zur Tierhaltung, die vor ca. 10.000 Jahren eingeleitet wurde, sowie die Domestizierung von Nutztieren, bewirkte, dass die Bedeutung der Tierseuchen für die menschliche Gesundheit stetig gewachsen ist.
Dabei gibt es zum einen Tierseuchen, die ausschließlich Tiere befallen, also durch Erreger hervorgerufen werden, die an das Tier adaptiert sind. Zum anderen sind viele Tierseuchen aber auch Auslöser von Zooanthroponosen, von Infektionskrankheiten, die vom Tier auf den Menschen und umgekehrt übertragbar sind. Im Laufe des Altertums bis hin zur Neu- und Jetztzeit mehren sich die Berichte über Tierseuchen. Der Rotz (Malleus) der Pferde – ebenfalls eine Zooanthroponose – wurde erstmals 450 v. Chr. von Hippokrates beschrieben. Auch der auf den Menschen übertragbare Milzbrand (Anthrax) ist bereits 1491 v. Chr. in Ägypten erwähnt. Tierspezifische Seuchen – wie die Lungenseuche der Rinder, die Wild- und Rinderseuche oder die Schweinepest – führten in den vergangenen Jahrhunderten zu verheerenden Epidemien, die mit großen Tierverlusten einhergingen. So sind im 18. Jahrhundert an der Rinderpest in Deutschland rund 28 Mio. Rinder verendet, für Europa belief sich diese Zahl auf etwa 200 Millionen.
|
Abb.: S. Grund, Institut für Mikrobiologie und Tierseuchen |
Die Mehrzahl der Erreger sind also alte Erreger. Die Vorläufer von Seuchenerregern werden aufgrund der Analyse ihres Erbmaterials, ihres Genoms, auf ein Alter von mehreren hundert Millionen Jahren geschätzt. Auch dies belegt, dass Tierseuchenerreger kein Problem unserer industriellen Gesellschaft sind. Tatsächlich nimmt aber die Anzahl der bekannten Tierseuchenerreger zu. Dies ist auf zwei Umstände zurückzuführen. Einerseits verfügen wir erst seit gut 200 Jahren über die Möglichkeiten, Erreger zu identifizieren, bzw. haben die Wissenschaftler akzeptiert, dass es tatsächlich „Infektionsstoffe“ gibt. Mit zunehmender technischer Weiterentwicklung können wir heute viel mehr Erreger nachweisen als jemals zuvor. Unter der Annahme, dass unser blauer Planet im Ozean, in der Luft und im Boden eine Population von geschätzten 1,7 x 1030 Mikroorganismen beherbergt, ist das Vorkommen von einigen hundert Arten von Tierseuchenerregern immer noch vernachlässigbar gering. Andererseits entstehen tatsächlich neue Seuchenerreger. Wir Menschen rücken immer näher mit Tieren zusammen und erobern ihre Lebensräume, so dass der Austausch zwischen Mikroorganismen und Säugetieren intensiver wird. So können Tierseuchenerreger schneller zwischen den Tieren ausgetauscht werden, sie können rascher „passagieren“. Seuchenerreger können so in sehr kurzer Zeit viele Wirte nacheinander infizieren. Da die Generationszeit bakterieller und viraler Erreger wesentlich kürzer ist als die ihrer Wirte – E. coli kann sich unter günstigen Bedingungen in 15 Minuten verdoppeln – wird den Erregern so die Möglichkeit verschafft, sich schneller zu adaptieren. Je häufiger sich Infektionserreger vermehren, desto größer ist zudem die Wahrscheinlichkeit der Entstehung von Mutationen im Erbgut. Dies führt zum Beispiel bei viralen Erregern zur Schaffung neuer Virusvarianten.
Wir begreifen auch zunehmend, dass sich die Genome bakterieller Erreger durch Zugewinn oder Abgabe von genetischer Information stark wandeln können. So sind Bakterien in der Lage, fremde Gene aufzunehmen und in ihr Genom zu integrieren, wodurch sie von einer Generation auf die andere plötzlich neue Eigenschaften entwickeln. Erstmalig wurde dies vor über 40 Jahren bei der Konjugation nachgewiesen. Bei diesem Vorgang werden Gene über einen zwischen zwei Bakterien ausgebildeten Kanal (Pilus, s. Abb. 1) von einem auf das andere Bakterium übertragen.
Abb.2: Transduktion. Infektion eines Salmonella-Bakteriums mit einem Phagen. EM-Aufnahme, Negativkontrastierung. |
So wurde damals die Übertragung der Unempfindlichkeit gegen Antibiotika gezeigt. Aber auch die Infektion (Transduktion) von Bakterien mit Bakterienviren (Bakteriophagen) kann dazu führen, dass Bakterien plötzlich neue Eigenschaften erwerben (s. Abb. 2).
Die erst seit Anfang der 80er Jahre des vergangenen Jahrhunderts bekannten EHEC-Bakterien sind ein erschreckendes Beispiel für die Entstehung eines neuen Erregers, der durch Phageninfektion generiert wurde. EHEC (enterohämorrhagische E. coli, Abb. 3) wurden dadurch in die Lage versetzt, einen hochaktiven Giftstoff – das Shigatoxin – zu bilden, der Wirtszellen tötet. Die Folgen einer Infektion sind u.a. das Hämolytisch-Urämische-Syndrom (HUS), das bei Kindern zu einem völligen Nierenversagen und sogar zum Tode führen kann. Der Austausch von genetischer Information, unabhängig von der Vermehrung der Bakterien (vertikaler Gentransfer), der sog. horizontale Gentransfer, stellt somit ein beträchtliches infektionsbiologisches Problem dar. Durch sich ändernde Pathogene werden wir einer gezielten Bekämpfung von Seuchenerregern immer hinterher laufen.
Abb.3: EHEC-Bakterien während der Infektion von menschlichen Zellkulturen. REM-Aufnahme Abb.:L.H. Wieler, Institut für Mikrobiologie und Tierseuchen |
Man muss im Hinblick auf die Entstehung von Infektionskrankheiten wissen, dass sie Ausdruck des Verhältnisses von drei „Partnern“ sind: Wirt, Erreger und Umwelt. Es wird also dazu kommen, dass Mikroorganismen durch das Eindringen von Menschen in neue Lebensräume, in dessen Zuge auch Nutztieren neue Gebiete geboten werden bzw. andere Tierarten ihren Lebensraum verlieren, Mikroorganismen in sogenannte „Fehlwirte“ eindringen, in denen sie sich unter Umständen als Krankheitserreger manifestieren. Selbst die globale Erwärmung hat langfristig einen Einfluss auf die Verbreitung von Tierseuchen. Bestimmte Seuchen kommen nur in Ländern vor, in denen bestimmte Insekten als Übertragungsvehikel dienen, als sogenannte lebende Vektoren. Die Erwärmung wird es deshalb solchen Insekten ermöglichen, in geographische Zonen vorzudringen, die ihnen bislang keine Grundlage zur Vermehrung boten. Der Einfluss des Menschen in diesem Szenario ist offensichtlich.
|
Abb.:S. Grund, Institut für Mikrobiologie und Tierseuchen |
Tierseuchen haben demnach nichts mit der Einführung der Massentierhaltung zu tun, die professionelle Landwirtschaft führt aber aus den genannten Gründen zu einem Wandel im Spektrum der Tierseuchenerreger. Das vorherige Beispiel der EHEC-Erreger ist auch aus einem anderen Grunde wegweisend. Zwar kennen wir das Problem der Anthropozoonosen seit jeher, aber die Infektionsprobleme der Tiermedizin gehen mit zunehmender Häufigkeit in die Humanmedizin über. Die derzeit wichtigsten bakteriellen Zooanthroponose-Erreger – Salmonellen, Campylobacter und EHEC – traten alle zunächst in Tierbeständen auf und gelangten erst über die Nahrungskette zum Menschen.
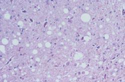
BSE (bovine spongiforme Enzephalopathie), eine schwammartige Veränderung im Gehirn von Kühen (Abb.8), ist ein weiterer Beleg für diese Hypothese. Nachdem zunächst kein Gesundheitsrisiko für den Menschen prognostiziert werden konnte, wissen wir inzwischen, dass die Erreger von BSE und der für den Menschen tödlichen neuen Variante der Creutzfeld Jacob Erkrankung (nvCJD) identisch sind. Aus den genannten Gründen wird eine Lösung dieser Probleme nur durch interdisziplinäre, vergleichende wissenschaftliche Ansätze von Human- und Veterinärmedizin möglich sein.
Abb.6.: Inzidenz von Salmonella-Infektionen beim Menschen in Deutschland |
Abb.7: Häufigkeit von Salmonella-Infektionen beim Rind in Deutschland |
In jedem Fall führte die zunehmende Problematik der Tierseuchen im 18. Jahrhundert dazu, deren Bekämpfung staatlich zu regeln. Spätestens einer der letzten verheerenden europäischen Ausbrüche der Rinderpest, vor allem aber der fast den 7-jährigen Krieg entscheidende Ausbruch der Räude der Pferde, machte den damaligen Monarchen drastisch die Bedeutung der Tiergesundheit klar. So wurde die Entstehung der ersten europäischen tierärztlichen Bildungsstätten forciert (Lyon 1762, Alfort 1766, Wien 1768, Hannover 1778, Berlin 1790), womit schließlich der wissenschaftliche Grundstein für eine organisierte Tierseuchenbekämpfung gelegt wurde. Die wissenschaftlichen Erkenntnisse gingen in die staatliche Tierseuchenbekämpfung ein, die retrospektiv in vier Epochen einzuteilen ist. Eine Seuchenbekämpfung auf Gemeindebasis in den deutschen Einzelstaaten früherer Jahrhunderte, im Nationalstaat und inzwischen im supranationalen Rahmen, wobei für uns die EU maßgeblich ist. Die staatliche Tierseuchenbekämpfung hat bis in die 90er Jahre des letzten Jahrhunderts vor allem in Europa großartige Erfolge feiern können, die auf den Werkzeugen der Anzeigepflicht beruht, das heißt der Pflicht der Tierhalter, eine Seuche bei der Behörde unverzüglich anzuzeigen, der Möglichkeit von Impfungen, der Sperrung von Seuchengebieten und der Tötung und unschädlichen Beseitigung von betroffenen Tieren. Weiterhin werden Tierbesitzer für ihre Verluste entschädigt. Viele der „klassischen“ Tierseuchen konnten mit Hilfe dieser Maßnahmen erfolgreich ausgerottet werden. So datiert der letzte Fall des auch für den Menschen gefährlichen Rotzes der Pferde in Deutschland aus dem Jahre 1956. Die Rinderpest ist seit 1930 getilgt, Milzbrand tritt ebenfalls nicht mehr auf und die gefährliche Zooanthroponose Brucellose der Rinder, eine nach dem Kriege häufige Infektionskrankheit von Tierärzten, hat seit Jahren eine Inzidenz von weniger als 0,01/100.000 Tieren. Weiterhin wurde seit Jahren kein Fall von Tuberkulose der Rinder mehr angezeigt, eine Erkrankung, die noch in den 40er Jahren des letzten Jahrhunderts Schäden von annähernd 400 Mio. Reichsmark hervorrief. MKS schließlich beobachten wir in Deutschland seit Ende der 80er Jahre des letzten Jahrhunderts nicht mehr.
Abb.8: Schwammartige Veränderungen im Gehirn einer Kuh, die an BSE verstorben ist. Histologisches Präparat, Hämatoxylin-Eosin-Färbung. Abb.:Walther, Institut für Veterinär-Pathologie |
Diese Erfolge sind neben den staatlichen Maßnahmen dadurch zu erklären, dass die Landwirtschaft professionalisiert wurde. Denn mit zunehmender hygienischer Stallhaltung waren Tierbestände wesentlich leichter zu kontrollieren und zu schützen, als dies bei der Haltung auf Weiden und Wiesen möglich ist. Zudem führte diese Entwicklung auch zu einer Verminderung der Anzahl miteinander aufgezogener, unterschiedlicher Tierarten. Dadurch wurde die Übertragung von Tierseuchenerregern von einer Tierart auf die andere drastisch reduziert. Ohne die professionalisierte Massentierhaltung wäre es nicht möglich gewesen, Tierseuchen adäquat zu bekämpfen.
Aber inzwischen zeigt sich die Kehrseite dieser Erfolge. Tiere, die über Generationen keinen Kontakt mehr mit bestimmten Infektionserregern haben, sind besonders empfänglich gegenüber einem Erstkontakt mit diesen Erregern, denn sie besitzen keine natürliche Immunität. Dies ist einer der Gründe, warum in Großbritannien inzwischen ca. 8,5 Mio. Tiere im Verlaufe der MKS-Pandemie starben, bzw. vorsorglich getötet wurden. Die MKS ist dort erst 11 Monate nach dem Ausbruch getilgt. Hintergrund ist die Tatsache, dass keine einzige Tierseuche weltweit ausgerottet ist, prinzipiell kann also jeder Tierseuchenerreger in das seuchenfreie Europa beziehungsweise Deutschland eingeschleppt werden. In vielen Staaten kommen Tierseuchen endemisch vor, sind also ständig vorhanden. Die MKS ist in vielen asiatischen Staaten endemisch (s. Abb. 9), selbst in unseren Nachbarstaaten wie in der Türkei treten immer wieder MKS-Ausbrüche auf. Tatsächlich sind weltweit nur 51 Staaten frei von MKS. Selbst die Rinderpest gilt nur in 87 Staaten der Welt als getilgt. Auch der Milzbrand kommt noch in vielen Staaten der Welt vor (s. Abb. 10).
Abb.9: Weltweite Verbreitung der Maul- und Klauenseuche |
|
Die zunehmende Professionalisierung der Tierzucht hat ebenfalls ihre Schattenseiten. Nutztiere wurden sehr gezielt auf bestimmte Leistungsmerkmale hin gezüchtet. So liefert eine Hochleistungsmilchkuh heute mehr als 10.000 Liter Milch pro Jahr. Diese Leistungsfähigkeit geht zu Lasten anderer Leistungsparameter. Wurden 1938 Milchkühe im Schnitt noch 8 Jahre und älter, so endet die Karriere einer heutigen Hochleistungskuh in der Regel schon im 4. Lebensjahr auf dem Schlachthof. Diese einseitige Tierzucht hat dazu geführt, dass der Genpool, also die Gesamtheit aller einer Tierart zur Verfügung stehenden Gene, reduziert wurde. Eine Verringerung des Genpools macht Wirte aber empfänglicher gegenüber Infektionskrankheiten, reduziert also deren „Fitness“. Auch muss die hygienische Auswirkung der zunehmenden Umweltbelastung mit tierischen Ausscheidungen kritisch hinterfragt werden.
Hier hilft auch keine Impfung: manchmal schützt gesunder Menschenverstand |
Das größte Problem aus Sicht der Tierseuchenbekämpfung stellt jedoch die zunehmende Liberalisierung und Globalisierung der Märkte dar. Die weltweiten Entwicklungen bewirken zwar immense wissenschaftliche Fortschritte, der Einfluss der ökonomischen und politischen Rahmenbedingungen auf die Tierseuchenbekämpfung wird aber immer krasser, weshalb die wissenschaftlichen Erkenntnisse nicht adäquat genutzt werden. Prinzipiell können Epidemien nur dann eingegrenzt werden, wenn lokale Barrieren existieren. Diese Barrieren (Landesgrenzen, Zollstationen) werden zunehmend fallen gelassen. Dass die MKS im Frühjahr diesen Jahres nicht nach Deutschland eingedrungen ist, ist dem erstklassigen Seuchenmanagement des Krisenstabs und der Courage einzelner Landwirte zu verdanken, die grenznahe Feldwege einfach blockierten. Hätte sich die Seuche nach Deutschland ausgebreitet, dann wäre eine Pandemie kaum zu verhindern gewesen. Der teilweise wahnwitzige Tierverkehr heutiger Tage ist ein idealer Nährboden für die Weiterverbreitung von Tierseuchenerregern.
Wir wissen immer noch nicht, wie und wo BSE entstanden ist, wir glauben lediglich zu wissen, dass ein infektiöses Protein, das in Abb. 11 dargestellte Prion, die Krankheit auslöst. Die Verbreitung des infektiösen Agens ist aber geklärt. BSE ist nur deshalb auf den europäischen Kontinent übergeschwappt, weil verseuchtes Tiermehl aus Großbritannien verbracht wurde. Erschreckenderweise wurde britisches Tiermehl aber nicht nur nach Europa, sondern auch in weite Teile der Welt exportiert – die ersten BSE-Fälle in Japan sind ein Indiz für das globale Ausmaß dieses Problems. Nicht die Massentierhaltung stellt die seuchenhygienische Gefahr dar, sondern die Verschleppung von Tierseuchenerregern durch den Handel mit lebenden Tieren und tierischen Produkten.
Abb.11: Modell der Prion-Proteine. Links das physiologische („gesunde“) Prion, rechts das „infektiöse“, vom Körper nicht mehr abbaubare Prion. |
Machen wir uns nichts vor – wir werden uns immer mit Tierseuchenerregern auseinandersetzen müssen! Die Bedeutung der Tierseuchen für die menschliche Gesundheit wird stetig zunehmen. Seuchenerreger, ob es sich um ausschließlich tieradaptierte oder um Zooanthroponose-Erreger handelt, finden in Zeiten der zunehmenden Globalisierung ideale Voraussetzungen zur Weiterverbreitung und damit auch zu einer beschleunigten Evolution. Wir werden die Mobilität und den kulturellen Austausch der Menschen weder einschränken wollen noch können – aber die Werkzeuge zur Bekämpfung von Tierseuchen müssen zum Wohle von Tier und Mensch bewahrt, beziehungsweise weiter entwickelt werden. Die Anzeigepflicht, die Möglichkeit der Impfung, die Errichtung von Sperrzonen und die Tötung und unschädliche Beseitigung von Tieren sind Werkzeuge, die uns nicht genommen werden dürfen. Aber die wissenschaftlichen und ethischen Ansprüche müssen wieder mehr an Gewicht gewinnen. Wir müssen dafür Sorge tragen, dass der auch tierschutzrelevante Handel mit lebenden Tieren drastisch eingeschränkt wird. Weiterhin müssen wir die fulminanten biotechnologischen Entwicklungen dazu nutzen, wirksame Impfstoffe zu entwickeln, um unsere Tiere und uns selbst besser vor Tierseuchen zu schützen. Wir brauchen Netzwerke zur Erkennung und anschließenden Warnung anderer Staaten vor Tierseuchen, lokale und globale Monitoring- und Surveillance-Systeme zur Überwachung solcher Seuchen. Ähnlich der Fahndungsnetze, die bei der Suche nach international gesuchten Straftätern genutzt werden, müssen weltweit Meldesysteme über Tierseuchenerreger existieren, die miteinander kommunizieren können. Dies erfordert neben Soft- und Hardware auch sichere Nachweissysteme (Diagnostika) für Tierseuchenerreger. Auch in diesem Bereich kann die zukunftsweisende Biotechnologie enorme Verbesserungen bringen. So wird in Zukunft die Tierseuchendiagnostik durch den Nachweis erregerspezifischer Gene, z.B. durch den Einsatz von miniaturisierten Nachweissystemen von Genen oder den Mikrochips, erweitert und auch sicherer werden. Nicht zu unterschätzen ist bei allen Vorsichtsmaßnahmen und Regularien jedoch die Tatsache, dass sich Menschen nicht immer an die gesetzlichen Vorgaben halten. Es kommt immer wieder zur nicht erlaubten Einfuhr von tierischen Lebensmitteln. So kann theoretisch ein Stück Fleisch, mitgebracht aus einem Staat, in dem die MKS endemisch vorkommt, und dann unerhitzt in den Trog von Schweinen geworfen, eine große MKS-Epidemie hervorrufen. Wir dürfen nicht den Fehler begehen, aus falsch verstandener Tierliebe die vielen Fortschritte der modernen Tierhaltung, die maßgeblich an der Tilgung von vielen Tierseuchen beteiligt waren, in das Gegenteil zu verkehren. Nach etlichen Jahren der Seuchenfreiheit wurde 2000 erstmals wieder die Brucellose der Schweine diagnostiziert. Sie trat erwartungsgemäß in einer Freilandhaltung von Schweinen auf. Erwartungsgemäß deshalb, weil Hasen das Reservoir für den Erreger der Schweine-Brucellose darstellen, und diese Nagetiere kommen nur bei entsprechender Freilandhaltung mit Schweinen in Kontakt, bei Stallhaltung ist dies nicht möglich. Und dies ist nur ein Beispiel, das aus seuchenhygienischer Sicht auch die ökologische Tierhaltung sehr differenziert betrachtet werden muss.
|
|
Die Öffentlichkeit entwickelt in jüngster Zeit, bedingt durch die BSE-Krise und die MKS-Pandemie in Großbritannien, ein reges Interesse an der Tierseuchenproblematik. Die hohen tierischen und wirtschaftlichen Verluste im Rahmen der Schweinepest-Epidemien in den Jahren 1993 bis 1997, die zur Tötung von über 2,1 Mio. Schweinen in Deutschland mit einem mittleren finanziellen Verlust von 2,069 Mio. DM pro Seuchenbestand führten, fanden im Gegensatz dazu bei Weitem nicht diese Beachtung. Wir sollten gemeinsam die Chancen der derzeitigen Sensibilisierung durch seriöse Aufklärung und durch eine engere Kooperation zwischen Human- und Veterinärmedizin im Hinblick auf die Tiergesundheit und damit direkt für den Schutz der Gesundheit der Menschen nutzen. Die Bedeutung tierischer Erzeugnisse (insbesondere Fleisch und Milch) für die menschliche Gesundheit ist in den vergangenen Jahrzehnten kontinuierlich gestiegen, denn wir verzehren wesentlich mehr hochwertige tierische Nahrungsmittel. Heute weist Deutschland einen Viehbestand von 25,9 Millionen Schweinen, 14,5 Millionen Rindern, und 2,7 Mio. Schafen auf. Der jährliche Pro-Kopf-Verzehr liegt bei satten 40 kg Schweinefleisch und 9 kg Rindfleisch, das heißt er hat sich seit 1938 vervielfacht. Wenn der Verbraucher weiterhin solche Mengen tierischer Lebensmittel verzehren möchte, muss er zur Erhaltung der Tiergesundheit und der Produktion sicherer Lebensmittel auch willens sein, sich finanziell stärker zu beteiligen. Im Vordergrund aller Bemühungen muss zwar immer stehen, die Lebensmittel tierischer Herkunft für den Menschen mit einem minimalen Gesundheitsrisiko zu gewinnen, aber ethisch-moralische Aspekte der Tierhaltung dürfen diesem Primat nicht geopfert werden.
Glossar- Bakteriophagen: Viren, die Bakterien infizieren
- Brucellose: chronische mit Aborten einhergehende bakterielle Infektionskrankheit der Geschlechtsorgane
- BSE: bovine spongiforme Enzephalopathie
- EHEC: enterohämorrhagische E. coli
- Endemie: räumlich begrenztes, aber zeitlich unbegrenztes Seuchenaufkommen
- Epidemie: zeitlich begrenzter Seuchenausbruch
- Inzidenz: Anzahl der Neuerkrankungen pro Jahr
- Genom: Gesamtheit aller genetischen Informationen eines Organismus
- Konjugation: ungeschlechtliche Übertragung von Genen zwischen zwei Bakterien
- MKS: Maul- und Klauenseuche, hochansteckende fieberhafte Allgemeininfektionskrankheit von Klauentieren
- Monitoring: ständige Überwachung
- nvCJD: neue Variante der Creutzfeld-Jacob Erkrankung
- Pandemie: Ausbreitung einer Infektionskrankheit auf einen ganzen Kontinent
- Reservoir: ständig vorhandene Infektionsquelle
- Rotz: chronische Infektionskrankheit der inneren Organe beim Pferd
- Tollwut: akute, in der Regel tödlich verlaufende Infektionskrankheit des zentralen Nervensystems aller Säugetiere sowie des Menschen
- Transduktion: Infektion eines Bakteriums mit einem Bakteriophagen
- Tuberkulose: typischerweise chronisch verlaufende Infektionskrankheit der Säugetiere sowie des Menschen
- Zooanthroponose: vom Tier auf den Menschen übertragbare Infektionskrankheit



